本篇由荷編撰稿,牆編亂搞
當爸爸以後,我開始對許多事有了不同的觀點與認識,像如何只用一隻手去完成平時習以為常工作,找尋各種避免聲響的工作流程,或是在不移動身體的情形下,試著像章魚哥延伸自己的手[a]去拿東西(大多是手機或遙控器),甚至是在各種情形下迅速站起來、彎下身或是跳起來。
除了肢體動作的控制之外,對於聲音也更加的敏感,寶寶晚上睡著後彷彿回到侏羅紀,我們放輕腳步與動作,悄悄地離開嬰兒房,靜靜地關上門。手機長期保持震動甚至是飛航模式,用智慧手錶來接受訊息,用寶寶攝影機遠端監控減少進出,深怕一點聲響吵醒了好不容易睡著的小梅醬,那哭聲就會鋒利地劃破深夜的寧靜……
說到侏儸紀,電影侏儸紀公園僅用一杯水的波紋,就表現了霸王龍移動的震動與緊張,但埋在床上的手機,震動時的聲音雖被周圍的棉被吸走了,我仍能感知到震動的存在!
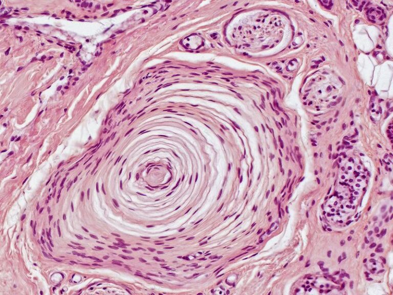
這是因為我們的皮膚上有一種叫做帕西尼氏小體(Pacinian corpuscle)的受器,專門用來感受這種高頻的震動。顧名思義,這個受器就是由義大利解剖學家,飛離譜・帕西尼(Filippo Pacini)先生發現的,它是哺乳動物皮膚上的四大基本力學感受器之一(慢速適應1,慢速適應2,快速適應以及帕西尼氏小體的高頻振動[b])。
帕西尼氏小體連結在感覺神經元末梢,可以把震動的訊息轉換成電訊號後傳遞給主要感覺神經,這些感覺神經元的細胞本體位在脊髓的背根神經節(Dorsal root ganglia),他們可以將來自身體各部位的觸覺、痛覺甚至癢覺的訊息往大腦傳遞。帕西尼氏小體的工作就像古時候的烽火,一接到信號就傳給下一個神經,信號就這樣一路向上傳到腦幹(Dorsal column nuclei),再往下投射到大腦的訊息收發室:丘腦(Thalamus),然後再往上投射到大腦主要負責感覺的體感皮質區,馬不停蹄的跑上跑下。
帕西尼氏小體 -> 背根神經節 -> 腦幹 -> 丘腦 -> 腦皮質
丘腦(訊息收發室)的工作是開信,點開伊妹兒,重要的訊息裡夾雜著許多垃圾廣告。丘腦首先根據信號種類粗略的依優先順序分類,接著打開最重要訊息來處理。所以雖然身體一直在接受外界的信號,但在我們睡覺的時候,丘腦會幫我們屏蔽掉許多不重要的訊息(比如說被子被捲走了,蠢爸爸撞到門發出聲響),睡眠才不至於被打斷。
罷特!就是這個罷特!Sky 編輯之一,V 編,發現了丘腦的斜槓功能,翻譯機!把來自帕西尼氏小體的鎖相時序編碼(Temporal coding),改寫成頻率編碼(Rate coding)。
丘腦(訊息收發室)的工作是開信,點開伊妹兒,重要的訊息裡夾雜著許多垃圾廣告。丘腦首先根據信號種類粗略的依優先順序分類,接著打開最重要訊息來處理。所以雖然身體一直在接受外界的信號,但在我們睡覺的時候,丘腦會幫我們屏蔽掉許多不重要的訊息(比如說被子被捲走了,蠢爸爸撞到門發出聲響),睡眠才不至於被打斷。
罷特!就是這個罷特!Sky 編輯之一,V 編,發現了丘腦的斜槓功能,翻譯機!把來自帕西尼氏小體的鎖相時序編碼(Temporal coding),改寫成頻率編碼(Rate coding)。
頻率編碼是什麼?時序編碼又是什麼?
頻率編碼(Rate Coding)是英國電生理學家,阿嘎・安抓(Edgar Adrian)先生和瑞典神經生理學家,鷹飛・砸他們(Yngve Zotterman)先生,在1926年提出的模型[c]。
阿嘎他們在實驗中發現,在一條肌肉上懸掛物體可以測到神經元發出的信號,而且在允許的生理區間內,增加懸掛物體的重量,神經元發出信號的頻率也會隨之增加。也就是說,隨著刺激強度的增加,動作電位的頻率也會相應增加,大腦神經元就能使用頻率編碼來區分外界不同的刺激。
然而頻率編碼理論把一整群的反應視為一種刺激而忽視每個時間點的鎖相時序訊息,在神經生理學圈子裡受到了許多挑戰,認為單用此一編碼系統並不足以解釋大腦神經元的複雜活動。
其實帕西尼氏小體在接收到震動之後,就像是太鼓達人一樣,將接收到的每一次的震動都精準地轉化為電訊號,往上傳遞到腦幹。但過了腦幹之後,時序訊號竟然消失了,變成頻率編碼的訊息,最後傳到丘腦與皮質的時候,神經元就只對特定的頻率有反應了。也就是說,中樞神經裡的神經元極具多樣性,有各種專職負責特定種類訊號的神經元,讓後續的訊息傳遞和處理有更高微度的解析與預測。
阿嘎他們在實驗中發現,在一條肌肉上懸掛物體可以測到神經元發出的信號,而且在允許的生理區間內,增加懸掛物體的重量,神經元發出信號的頻率也會隨之增加。也就是說,隨著刺激強度的增加,動作電位的頻率也會相應增加,大腦神經元就能使用頻率編碼來區分外界不同的刺激。
然而頻率編碼理論把一整群的反應視為一種刺激而忽視每個時間點的鎖相時序訊息,在神經生理學圈子裡受到了許多挑戰,認為單用此一編碼系統並不足以解釋大腦神經元的複雜活動。
其實帕西尼氏小體在接收到震動之後,就像是太鼓達人一樣,將接收到的每一次的震動都精準地轉化為電訊號,往上傳遞到腦幹。但過了腦幹之後,時序訊號竟然消失了,變成頻率編碼的訊息,最後傳到丘腦與皮質的時候,神經元就只對特定的頻率有反應了。也就是說,中樞神經裡的神經元極具多樣性,有各種專職負責特定種類訊號的神經元,讓後續的訊息傳遞和處理有更高微度的解析與預測。
那到底大腦在哪裡,用何種方式轉換訊息呢?
V 編利用高難度的光遺傳學實驗,發現精準的時序在經過丘腦之後被轉換了,推測是這個區域裡對於特定頻率訊號的抑制神經元幹的!
這個實驗首先需要用遺傳學的方式,在老鼠腦袋中的特定神經元上,安放可感應特定波長光線的通道,再在腦殼上鑽個小洞,塞一盞光纖小燈在腦子裡。如此一來,只要點亮光纖就可以活化特定的神經元給予刺激。這個作法雖然技術含量超級高,但是相對對細胞沒有專一性的傳統電訊號刺激,更能精細的解析神經網路間的對應關係。
V 編研究發現,抑制丘腦中的丘腦網狀核的話,鎖相時序訊號就會增加,因此確認丘腦在信號傳遞的過程中,扮演調整信號的角色。
這就是解答了嗎?那可不!這個發現就像打開了潘朵拉的盒子一樣,更多的謎團和問題傾巢而出。不同神經是如何對應到不同頻率的刺激?不同頻率間是否能共同協作使得訊息能有方向性的判讀?高頻的震動訊息在演化或是生理上代表的意義等等。都是V編捅出來的業障。
了解大腦神經網路處理外界信號的邏輯,可以應用在許多迷人的未來發展上,比如人工智慧技術所採用的神經網路模型,也是從大腦神經網路的結構所啟發與延伸。剛開始僅僅只是幾個簡單的演算法,在資訊硬體與軟體跟上慢慢到位之後也引起了巨大了旋風。對於大腦神經系統所採用的邏輯越清楚,我們就越有可能設計出接近人類思維甚至行動方式的機器人,這些仿生的應用必會帶給我們的生活非常巨大的影響!
不過此時此刻我最關心的,還是小梅醬可否好好睡隔夜[d],讓我們也有個好眠的侏儸紀之夜。
V 編註腳:
[a]: 其實【工具運用的延伸感知】很大一部份都是帕西尼氏小體的貢獻喔~
[b]: 其實也等同 快速適應2 (當初取那個名字是只單純從神經反應來區分 因為還不了解受器本身)
[c]: 哈哈我完全不知道這段
[d]: 如果可以抑制小梅的感覺神經訊號,荷爸就可以一覺好眠,連霸王龍都吵不醒(誤)
參考文獻:doi.org/10.1016/j.neuron.2024.07.005
這個實驗首先需要用遺傳學的方式,在老鼠腦袋中的特定神經元上,安放可感應特定波長光線的通道,再在腦殼上鑽個小洞,塞一盞光纖小燈在腦子裡。如此一來,只要點亮光纖就可以活化特定的神經元給予刺激。這個作法雖然技術含量超級高,但是相對對細胞沒有專一性的傳統電訊號刺激,更能精細的解析神經網路間的對應關係。
V 編研究發現,抑制丘腦中的丘腦網狀核的話,鎖相時序訊號就會增加,因此確認丘腦在信號傳遞的過程中,扮演調整信號的角色。
這就是解答了嗎?那可不!這個發現就像打開了潘朵拉的盒子一樣,更多的謎團和問題傾巢而出。不同神經是如何對應到不同頻率的刺激?不同頻率間是否能共同協作使得訊息能有方向性的判讀?高頻的震動訊息在演化或是生理上代表的意義等等。都是V編捅出來的業障。
了解大腦神經網路處理外界信號的邏輯,可以應用在許多迷人的未來發展上,比如人工智慧技術所採用的神經網路模型,也是從大腦神經網路的結構所啟發與延伸。剛開始僅僅只是幾個簡單的演算法,在資訊硬體與軟體跟上慢慢到位之後也引起了巨大了旋風。對於大腦神經系統所採用的邏輯越清楚,我們就越有可能設計出接近人類思維甚至行動方式的機器人,這些仿生的應用必會帶給我們的生活非常巨大的影響!
不過此時此刻我最關心的,還是小梅醬可否好好睡隔夜[d],讓我們也有個好眠的侏儸紀之夜。
V 編註腳:
[a]: 其實【工具運用的延伸感知】很大一部份都是帕西尼氏小體的貢獻喔~
[b]: 其實也等同 快速適應2 (當初取那個名字是只單純從神經反應來區分 因為還不了解受器本身)
[c]: 哈哈我完全不知道這段
[d]: 如果可以抑制小梅的感覺神經訊號,荷爸就可以一覺好眠,連霸王龍都吵不醒(誤)
參考文獻:doi.org/10.1016/j.neuron.2024.07.005
